Нелегкие испытания
“Дожить до внуков от младшего сына — ему сейчас 4 года”. История мужчины, столкнувшегося с одним из самых агрессивных видов рака.

Андрею 50 лет. В феврале 2024 года ему поставили диагноз “рак легкого, 4-я стадия”. И хотя Андрей курил всю жизнь, буквально с третьего класса, о том, что это случится именно с ним, не думал и услышанному не верил. Так бывает почти всегда. О жизни, болезни и лечении MT рассказал он сам, а лечащий врач прокомментировал этот рассказ.
Если бы наш герой был персонажем американского фильма, он бы жил где-то в Техасе, носил рыжие ботинки, клетчатую рубашку, а из заднего кармана потертых джинсов у него выглядывала бы замасленная тряпка, чтобы вытирать руки. Он работал бы где-то на разборке старых пикапов, сам бы пикап водил и был бы душой родного городишки. Андрей точно такой персонаж, только родился и прожил всю жизнь он в поселке Урдома Архангельской области и все детство мечтал о машине-вездеходе. После школы отучился на тракториста-машиниста и с тех пор работал по профессии.
“Сколько себя помню, никогда не боялся работы: в совхозе, в леспромхозе, даже на железной дороге был осмотрщиком-ремонтником вагонов. Все время возился с техникой, помогал друзьям, знакомым, коллегам, соседям ремонтировал им машины и трактора”, — рассказывает он. У Андрея большая семья — жена и три сына. Старшему 17 лет, среднему 14 и младшему 4 года. Старший увлекается компьютерами, а средний и младший тянутся к технике, как и он сам. Здоровый крепкий мужик никогда не болел и вообще на здоровье не жаловался. Из вредных привычек — только сигареты. Как в 3-м классе закурил вместе с друзьями, так и не бросил. Особенности деревенской культуры.
“Проблемы со здоровьем у меня начались в феврале этого года. Конечно, не думал, что это серьезно. Всего лишь недомогание, кашель и сильная одышка. Стало сложно работать, даже обычные домашние дела давались с трудом”.
Тогда Андрей обратился к терапевту, сделал рентген грудной клетки и с диагнозом ОРЗ отправился домой лечиться. Только лучше не становилось, и он решил поехать на компьютерную томографию (КТ) — там и выяснилось, что у него опухоль.
“Первая реакция — скорее не страх, а неверие. Всю жизнь был здоровым, никогда ни на что не жаловался. Да, курил, но ведь не кашлял, не задыхался, вообще ни разу до этого года не сталкивался с проблемами с легкими. И даже когда ехал к онкологу, все еще надеялся, что это ошибка”.
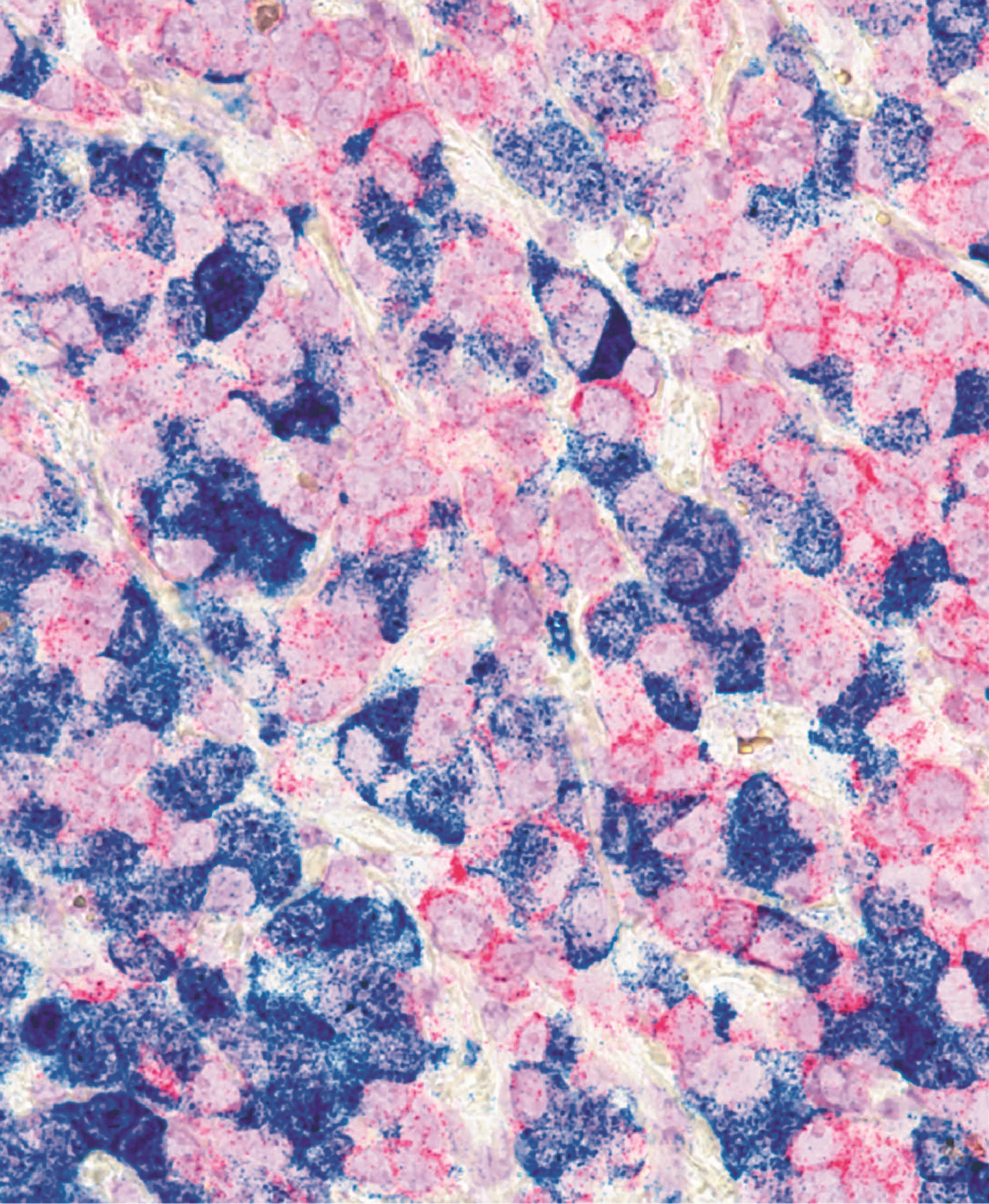
Сергей Сауткин — онколог диспансера в Сыктывкаре в Республике Коми, доктор молодой, неравнодушный и грамотный. Быстро назначил и провел исследования, которые подтвердили рак. Существует два основных вида рака легкого: мелкоклеточный и немелкоклеточный. Более агрессивной, трудно поддающейся лечению и при этом более распространенной формой является мелкоклеточный рак легкого, именно его диагностировали Андрею. У подавляющего большинства пациентов (85–90%) это заболевание связано с курением, как активным, так и пассивным. Ущерб, который наносят организму никотин, угарный газ и ядовитые смолы, особенно велик в детском возрасте. Как правило, рак легкого развивается не быстро — от 10 до 30 лет курения. Наш пациент курил с третьего класса. Сейчас ему 50.
“Четвертая стадия любого онкологического заболевания — это изначально неблагоприятный прогноз, — объясняет врач. — Злокачественное новообразование правого легкого, метастазы в носоглотке, шейных лимфоузлах, головном мозге — клинический диагноз, который поставили Андрею. Звучит как приговор. Но важно понимать, что каждый отдельно взятый случай уникален. У мелкоклеточного типа рака есть особенность — он стремительно развивается и дает новые метастазы в организме, если не проводится лечение. Но также обычно очень хорошо отвечает на химиотерапию. Буквально после первого цикла есть положительная динамика. Однако такой результат ненадежен, и у большинства пациентов скоро болезнь начинает прогрессировать снова, а кроме химиотерапии долгие годы назначить было нечего”. После врачебной комиссии Андрея положили в больницу и предложили современный метод лечения — скомбинировать химиотерапию с иммунотерапией, которая позволяет использовать собственный иммунитет для борьбы с раковыми клетками. Это не гарантия успеха, но увесистый шанс. Андрей согласился попробовать.
