Половина средневековых скандинавов пострадала от кариеса
На это указали останки, раскопанные в Швеции

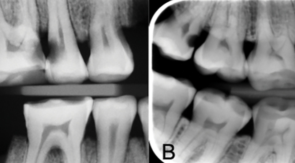
Палеопатологи исследовали останки 171 человека, живших в X–XII веках нашей эры, которые обнаружили во время раскопок в некрополе у Варнхемского монастыря. Почти у половины (49 процентов) обследованных людей ученые обнаружили хотя бы одно кариозное поражение, причем эти стоматологические заболевания встречались только у взрослых. Помимо патологий на зубах некоторых скандинавов исследователи зафиксировали свидетельства манипуляций: стачивания, ковыряния зубочистками и лечения. Об этом сообщается в журнале PLoS One.
В 2005 году в шведской коммуне Скара (лен Вестра-Гёталанд) проходили раскопки у Варнхемского монастыря. В ходе этих работ археологи нашли руины каменной церкви, построенной в начале XI века на месте более ранней деревянной церкви. Рядом с этими христианскими культовыми сооружениями находится крупный некрополь X–XII веков, насчитывающий несколько тысяч могил, 300 из которых раскопали исследователи.
