Австралийцы обнаружили древнейшие сердца возрастом 390-370 миллионов лет. Это сердца панцирных рыб

Палеонтологи обнаружили на австралийском местонахождении Гоугоу, возраст которого составляет 390-370 миллионов лет, окаменелости древних рыб плакодерм с хорошо сохранившимися внутренними органами, включая самые древние известные сердца. Как отмечается в статье для журнала Science, находка позволяет не только реконструировать строение плакодерм, но и лучше понять эволюцию челюстноротых — в том числе определить момент появления легких.
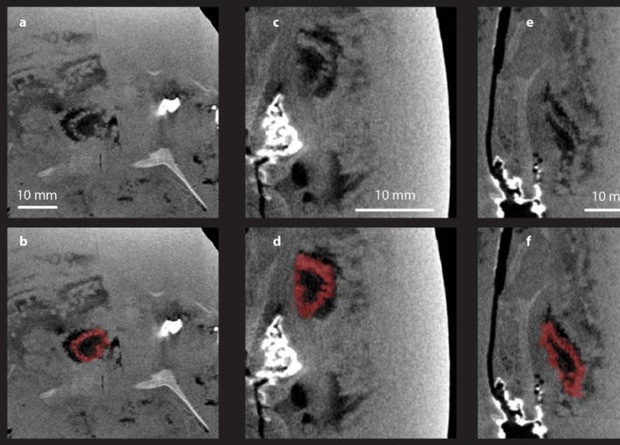
В отличие от костей, мягкие ткани плохо сохраняются в палеонтологической летописи. Это серьезно осложняет работу специалистов, изучающих анатомию и физиологию вымерших животных. Однако иногда в руки ученых все же попадают остатки древних существ с отлично сохранившимися покровами, мышцами и даже внутренними органами. Обычно такие ископаемые формируются в бескислородной среде с минимальным количеством бактерий, где они успевают окаменеть до того, как разложатся.
Местонахождения с исключительной сохранностью организмов, где можно обнаружить ископаемые с мягкими тканями, называют лагерштеттами консервационного типа. К ним относятся, например, сланцы Бёрджес в Британской Колумбии или Зольнхофен в Германии. Менее известный лагерштетт Гоугоу расположен в Австралии. На этом верхнедевонском местонахождении возрастом 390-370 миллионов лет были найдены многочисленные остатки древних рыб плакодерм (Placodermi) (или, как их называли раньше, панцирных рыб)
