Анализ менструальной крови не уступил мазкам при скрининге на рак шейки матки
Результаты получены в крупном кросс-секционном исследовании
Китайские ученые провели кросс-секционное популяционное исследование и выяснили, что анализ менструальной крови может быть удобным и эффективным методом скрининга на предраковые изменения и рак шейки матки, практически не уступающим взятому врачом мазку. Отчет о работе опубликован в журнале The BMJ.
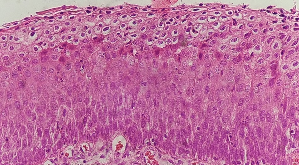
Персистирующая инфекция вируса папилломы человека (ВПЧ) играет центральную роль в генезе рака шейки матки, приводящего ежегодно к смерти почти 350 тысяч жительниц Земли. Своевременно выявленные предраковые изменения — цервикальная интраэпителиальная неоплазия — во многих случаях помогают предотвратить развитие рака или выявить его на ранних стадиях. Стандартом скрининга служит анализ на ВПЧ и цитологическое исследование эпителия шейки матки с помощью мазка по Папаниколау (пап-мазка), который берет врач. По различным причинам (нехватка медицинской инфраструктуры, культурные и религиозные особенности, боязнь дискомфорта при влагалищных манипуляциях) далеко не все женщины проходят такое обследование. В качестве альтернативы разработаны вагинальные мазки, цервиковагинальные щеточки и тампоны для самостоятельного забора биообразцов. В 2025 году в США разрешили применять первое подобное устройство. Все эти методы достаточно эффективны, однако тоже требуют
