Американец обратился к врачам по поводу свиста в мошонке

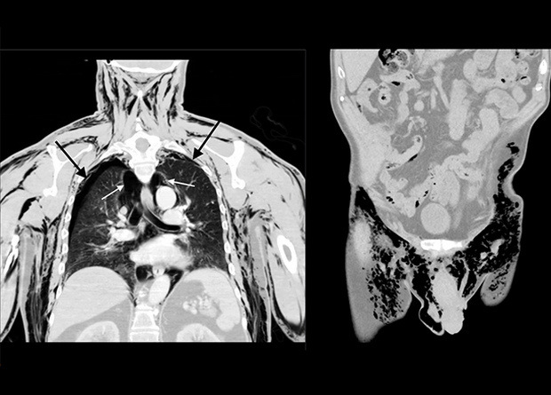
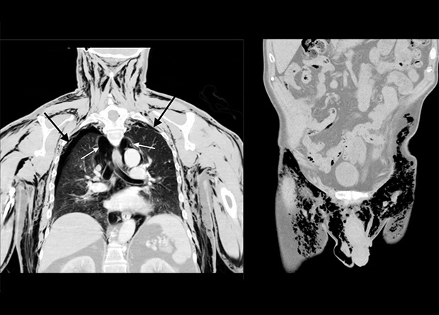
Американские врачи отчитались о необычном клиническом случае, при котором пожилой пациент поступил в кабинет неотложной помощи с жалобами на одышку, отек лица и свистящий звук из паховой области. Причиной стало поступление воздуха по неустановленному механизму под кожу, в плевральную полость, средостение и мошонку, из которой он выходил наружу через открытую рану после неудачной операции. Сообщение опубликовано в American Journal of Case Reports.
При определенных условиях воздух может попадать в несвойственные для него отделы организма, такие как мягкие ткани (это называется эмфиземой с указанием пораженной области) или серозные полости (такие состояния именуют приставкой «пневмо-», например, пневмоторакс в плевральной полости, пневмоперитонеум — в брюшной, пневмомедиастинум — в средостении, пневмоскротум — в мошонке). Причиной этого могут стать травмы, хирургические вмешательства, разрывы полых органов (таких как легкое или кишка), реже — газовая гангрена или попадание воздуха при самостоятельных инъекциях. При пальпации тканевой эмфиземы можно услышать крепитацию (похрустывание), а в присутствии открытой раны — тихий свист. Также эти звуки могут появляться при произвольных или дыхательных движениях.
